Follow the latest trends and technology innovations in this area of 3D Printing.
We will be posting curated articles and videos on this subject on a regular basis, often daily.
Want to see the most popular posts in this category?
Our 12 Most Popular Posts in Bioprinting (Ranked by View Count)
Nine Most Recent Posts in Bioprinting
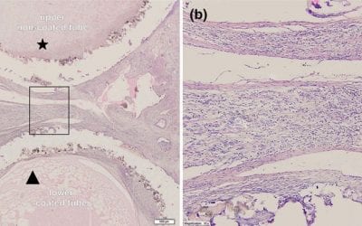
Polish Researchers 3D Printing Novel Holdfast Devices for Atrial Procedure
In ‘ Evaluation of Local Tissue Reaction After the Application of a 3D Printed Novel Holdfast Device for Left Atrial Appendage Exclusion,’ researchers from Poland begin to experiment even further with 3D printed devices for assistance in cardiac procedures. ...
Global 4D Printing in Healthcare Market Will Grow at a CAGR of 29.9% – Exclusive Report by MarketsandMarkets™
Growth in this market is driven mainly by technological advancements in 3D printing technology, such as the development of smart, programmable materials. On the other hand, high development & production costs, need for compliance with regulatory &...
3D bioprinting breakthrough leads to full-scale, functioning heart parts
While in its early stages, bioprinting of human tissue is an emerging technology that is opening up some exciting possibilities, including the potential to one day 3D print entire human organs. This scientific objective has now grown a little bit closer, with...
Chinese Researchers 3D Print Peripheral Nerves for Complex Study Using Enhanced Staining
Researchers are using 3D printing for nerve reconstruction, learning more about how nerves work both functionally and internally in a peripheral capacity. They outlined their methods and results in the recently published ‘ An enhanced staining method K-B-2R staining...
How 3D-Printed Organs at the International Space Station May Cure Diseases
William Wagner is searching for the heart of the future, and it could be somewhere in the night sky. The director of the McGowan Institute for Regenerative Medicine at the University of Pittsburgh, a 250-strong team focused on organ and tissue failure, is at...
Carnegie Mellon researchers develop 3D printing for heart valves
Researchers at Carnegie Mellon University recently developed a method to rebuild components of the human heart using 3D printing. The team of researchers made an advanced version of Freeform Reversible Embedding of Suspended Hydrogels (FRESH) technology in...
Interview with Gordon Wallace on Bioprinting Solutions to Medical Challenges
In a race to combat very specific medical challenges, Gordon Wallace has developed groundbreaking and bespoke advances in bioprinting, both in specialized 3D printing devices and customized bioinks. Along with fellow researchers at the University of Wollongong...
New Benchmarks in Multimaterial 3D Printing
After Israeli scientists attracted worldwide interest by engineering a heart that matches the cellular and anatomical properties of the patient , the chemical group, Wacker, announced new benchmarks in the field of multimedia printing at the K2019 fair with a 3D...
3D-printing organs moves a few more steps closer to commercialization
New successes in printing vascular tissue from living cells point to the accelerating pace of development of 3D-printing tissue — and eventually the ability to manufacture organs from small samples of cells. Late last month Prellis Biologics announced an $8.7...
Nine Most Recent Videos in Bioprinting
[/et_pb_posts_blog_feed_masonry_agsdcm]






















